Características de nuestro equipo de RX que lo convierten en el mejor
LA VERDADERA UNIDAD DE IMAGEN MULTIFUNCIONAL
Orthophos SL está preparado para múltiples situaciones de tratamiento. En el lado 2D, el revolucionario sensor DCS y la tecnología SL satisfacen los requisitos del personal clínico con exigencias muy altas de imágenes panorámicas. En 3D, podrá decidir entre la unidad de volumen de 8 cm x 8 cm o de 11 cm x 10 cm, las cuales ofrecen diversas colimaciones.
En combinación con el software de imagen pionero Sidexis 4, Orthophos SL le da acceso a diversas soluciones de tratamiento innovadoras. Orthophos SL 3D también está equipado con un brazo cefalométrico.
Los pacientes agradecen la luz ambiente relajante durante el proceso de captación de imagen. Dispone de más de 30 colores para crear una atmósfera agradable en la sala de rayos X.
Características destacadas

3D Low Dose mode

Direct Conversion Sensor

MARS

Tecnología Sharp Layer (SL)

Alta definición (HD)
Imagen panorámicas 2D: Tecnología revolucionaria
Aunque las radiografías 3D son cada vez más demandadas y existen un gran un número creciente de equipos en consultorios dentales, la imagen 2D sigue teniendo su lugar, en gran medida, debido a su radiación. Las mejoras realizadas en la calidad de imagen hace que las opciones disponibles en tecnología 2D están lejos de haberse agotado. Orthophos SL ha revolucionado la imagen 2D con la introducción del Sensor de Conversión Directa, la tecnología Sharp Layer y la SL interactiva. Experimente imágenes panorámicas como nunca antes.
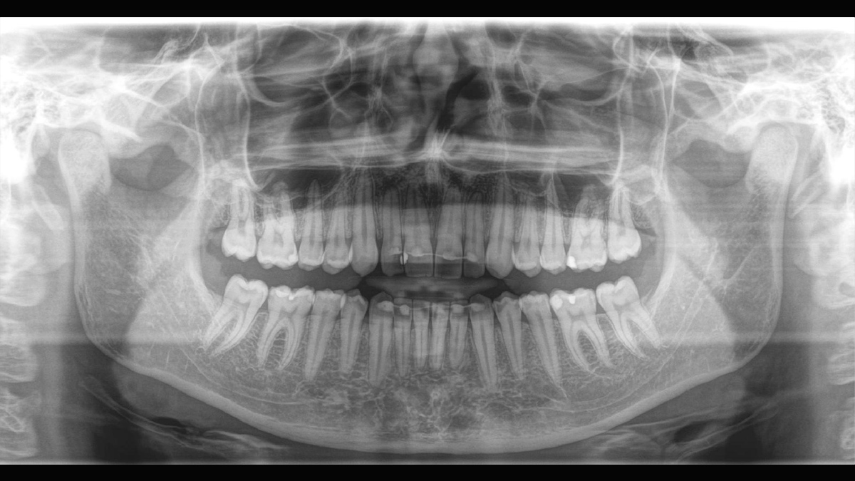
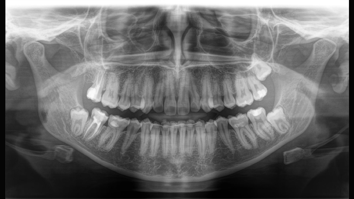
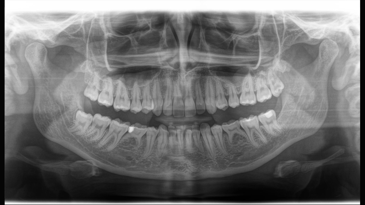
Galería de muestra de imágenes panorámicas 2D
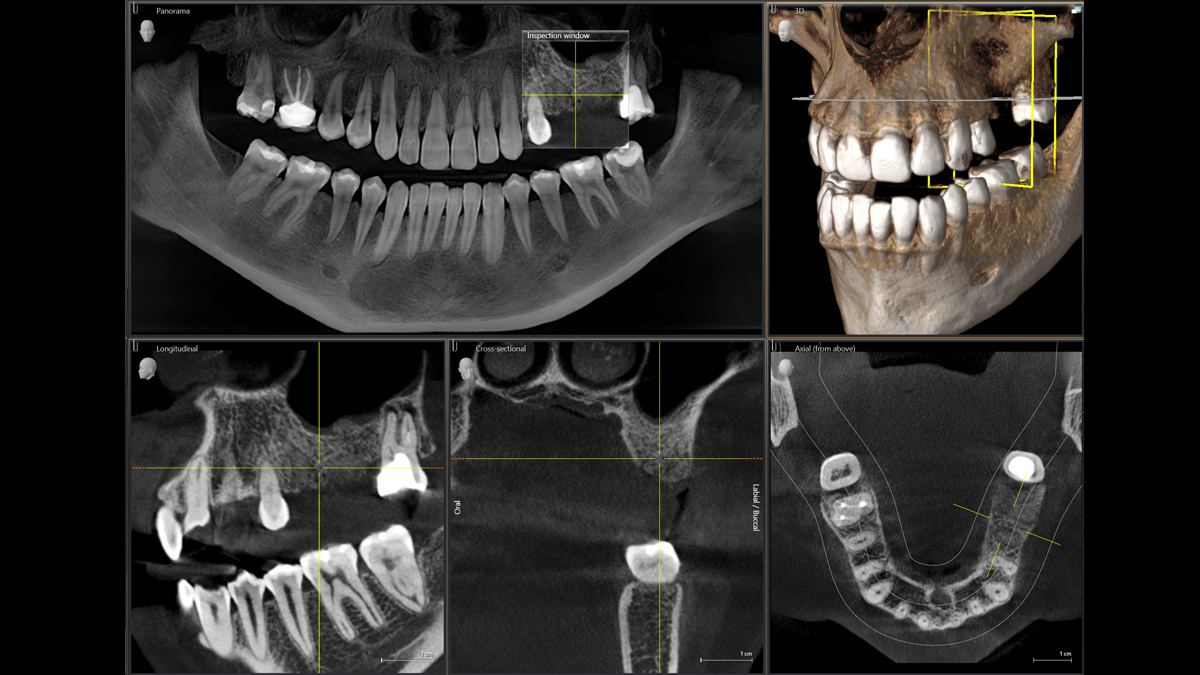
Imagen 3D: el futuro de la tecnología en obtención de imágenes
La tecnología 3D se está estableciendo cada vez más en los consultorios dentales en todo el mundo. Para diagnósticos más precisos y explicaciones del tratamiento, los rayos X en 3D ofrecen varias ventajas. Ya sea para dientes superpuestos, recorridos inesperados de los canales de los nervios, raíces ocultas o anomalías de las articulaciones temporomandibulares, las imágenes en 3D tienen un valor inestimable para un gran número de diagnósticos.
Orthophos SL 3D ofrece una gran variedad de opciones para satisfacer estas necesidades: diferentes tamaños de volumen donde elegir, modos HD/SD/Dosis bajas de radiación y un software inteligente e intuitivo para aprovechar al máximo las imágenes obtenidas y vincularlas directamente al tratamiento.
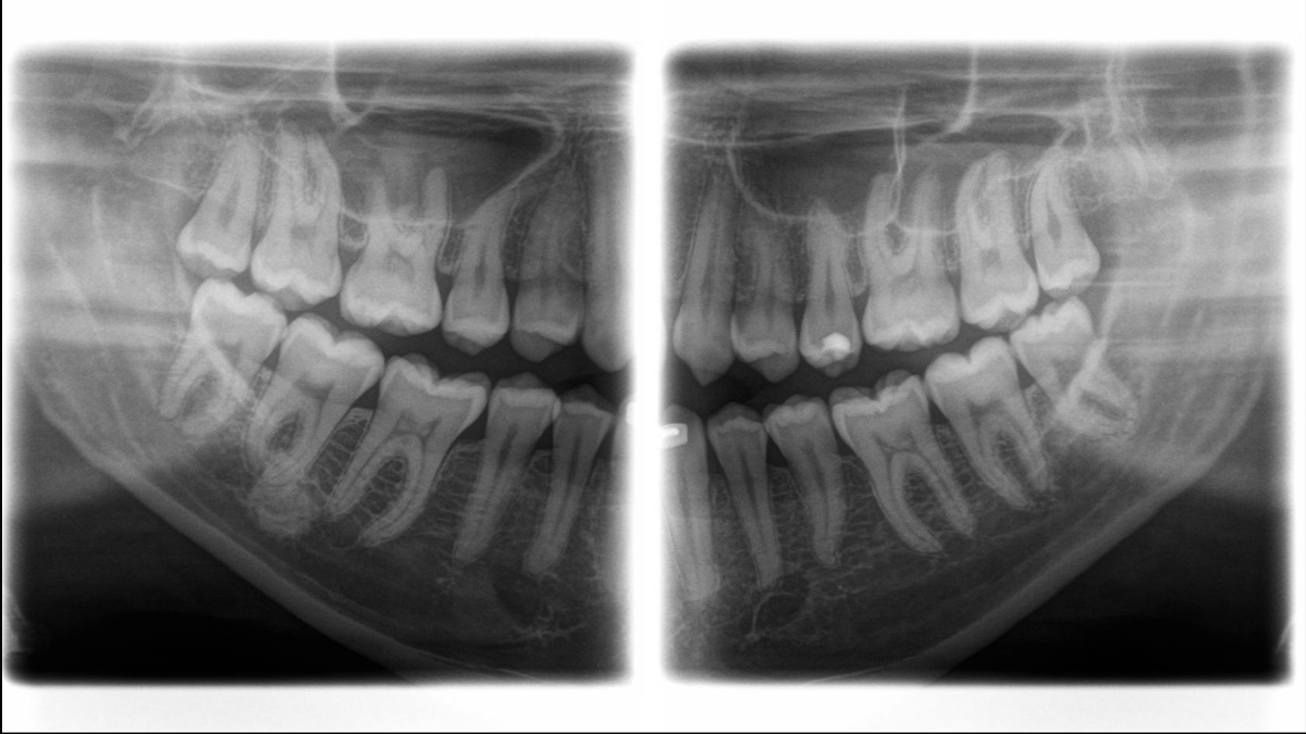
Galería de muestra de imágenes panorámicas 3D
Orthophos SL 3D en la práctica
Imagen cefalométrica
Orthophos SL 3D ofrece la posibilidad de instalar un brazo cefalométrico en cualquier momento. Para asegurarse de que se ajusta a su sala de rayos X, el brazo puede montarse en el lado derecho o el lado izquierdo de la unidad.
Programas cefalométricos que cubren todas las necesidades ortodóncicas
Usando un sensor específico, obtiene imágenes laterales y simétricas, así como imágenes del carpo. En casos de dientes desplazados, podría recurrrir a los beneficios de las radiografías en 3D para determinar la localización exacta.
















